In a case that has sent shockwaves through the medical community, doctors in China have identified what may be the youngest confirmed case of Alzheimer’s disease in a 19-year-old male.
The unnamed patient, whose identity remains protected, presents a rare and perplexing medical mystery.
His symptoms began at age 17, marked by a progressive decline in memory and cognitive function.
Initially, he struggled with forgetting daily tasks and frequently misplaced personal items.
Over time, these symptoms worsened to the point where he was unable to complete high school, despite being capable of living independently.
His case has raised urgent questions about the mechanisms behind early-onset Alzheimer’s and the potential for non-genetic factors to play a role in the disease’s development.
The patient’s journey to diagnosis began with his enrollment at a specialized memory care clinic, where he received a year of treatment and evaluation.
During this period, clinicians noted a stark discrepancy in his cognitive performance compared to peers of the same age.
His overall memory score was 82% lower than average, and his immediate memory score was 87% lower.
These findings were alarming, as they indicated a severe impairment in both short-term and long-term memory retention.
Standard cognitive screening tests, such as the Montreal Cognitive Assessment (MoCA) and the Mini-Mental State Examination (MMSE), initially appeared normal.
He scored 28 out of 30 on the MoCA and 29 out of 30 on the MMSE—both within the normal range.
However, as his condition progressed, his scores on specialized memory testing plummeted to levels that were profoundly abnormal.
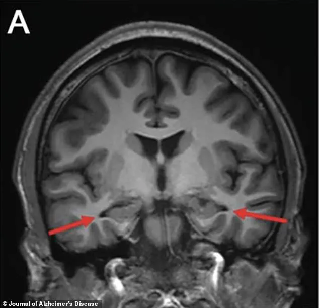
Brain scans conducted in 2022 revealed significant atrophy in the hippocampus, a region of the brain critical for memory formation and one of the first areas affected by Alzheimer’s disease.
This finding aligned with the clinical presentation of the condition but deepened the mystery of the patient’s case.

Further analysis of his cerebrospinal fluid uncovered elevated levels of amyloid and tau proteins, two biomarkers strongly associated with Alzheimer’s pathology.
These markers are typically used to confirm the presence of the disease, but their detection in a 19-year-old without a known genetic predisposition has left researchers puzzled.
Genetic testing played a pivotal role in this case.
Scientists meticulously examined the patient’s DNA for mutations in genes such as PSEN1, which are commonly linked to familial Alzheimer’s disease.
Surprisingly, no such mutations were found.
This absence of genetic markers is particularly significant, as nearly all cases of early-onset Alzheimer’s diagnosed before age 30 are attributed to specific genetic mutations.
The patient also had no family history of dementia, further ruling out inherited disease pathways.
This has led researchers to conclude that the case is “sporadic,” with no clear genetic or hereditary cause identified.
The implications of this case are profound.
According to a report published in the *Journal of Alzheimer’s Disease*, the patient met the diagnostic criteria for probable Alzheimer’s dementia as outlined by the National Institute on Aging-Alzheimer’s Association.
This classification underscores the severity of his condition despite his young age.
Researchers from Capital Medical University, who documented the case, emphasized that the disease’s “pathogenesis still needs to be explored.” They suggested that undiscovered genetic factors, unique environmental interactions, or previously undocumented disease pathways could be responsible for the patient’s condition.

This case highlights a critical gap in current understanding of Alzheimer’s and the urgent need for further research into non-genetic causes of the disease.
The patient’s decline was both rapid and debilitating.
Initially, he experienced difficulties with concentration in high school, which escalated to profound short-term memory loss.
He began forgetting daily events, misplacing belongings, and struggling to retain even a paragraph of text.
These symptoms progressively worsened, leading to a significant deterioration in his ability to function academically and socially.
His case is now the youngest known instance of Alzheimer’s disease with no identifiable genetic contribution, surpassing the previous record of a 21-year-old who had the PSEN1 gene mutation.
This distinction underscores the uniqueness of the patient’s situation and the potential for new avenues of research into the disease’s origins.
As the medical community grapples with this case, it serves as a stark reminder of the complexity of Alzheimer’s disease.
While genetic factors have long been considered a primary driver of early-onset cases, this patient’s condition challenges that assumption.
His story highlights the importance of continued investment in neurological research and the need for more comprehensive diagnostic tools.
For now, the young man’s case remains a rare and enigmatic puzzle, one that may hold the key to unlocking new insights into the origins and treatment of Alzheimer’s disease.
A 60-year-old patient presented with a profound memory deficit that defied initial diagnostic expectations.
Over five trials, he recalled only 37 words, far below the normal benchmark of 56 for his age and education level.
His performance worsened with time: five words after a three-minute delay, and just two after 30 minutes, compared to the expected 13.

This stark deviation from standard norms raised immediate concerns about underlying neurological impairment.
The patient's memory capacity placed him below 82 to 87 percent of his age-matched peers, a deficit that early screening tools had failed to detect.
This discrepancy underscored the limitations of conventional diagnostic approaches and the need for more advanced imaging techniques.
An MRI revealed alarming structural changes in the patient's brain.
The hippocampus, a critical region for memory formation, showed signs of early shrinkage.
Additional scans confirmed reduced activity in the parietal and temporal cortices, areas essential for cognitive processing and spatial awareness.
These findings painted a picture of progressive neural degeneration, though the cause remained unclear.
The absence of amyloid and tau plaques—hallmarks of Alzheimer's disease—on specialized PET scans initially suggested a different diagnosis.
However, a lumbar puncture revealed elevated tau protein levels and an abnormal amyloid ratio in the cerebrospinal fluid, pointing to early-stage neurodegeneration that may not yet be visible on standard imaging.
The contrast between the PET scan results and the lumbar puncture findings highlighted the limitations of current diagnostic technologies.
While amyloid PET scans are widely used, they can miss early-stage plaques in a subset of Alzheimer's patients.
In this case, the spinal fluid test proved more sensitive, detecting biochemical changes that imaging alone could not.
An exhaustive battery of additional tests—including evaluations for infections, autoimmune disorders, toxins, and metabolic diseases—ruled out alternative explanations for the patient's cognitive decline.
Genetic testing also failed to identify mutations in PSEN1, PSEN2, or APP genes, which are typically associated with early-onset Alzheimer's.

The patient carried the most common variant of the APOE gene, a factor known to increase Alzheimer's risk but not definitive proof of the disease.
The case underscores a growing public health concern: the rise in early-onset dementia.
Alzheimer's, traditionally a disease of the elderly, is increasingly affecting younger populations.
A report from Blue Cross Blue Shield revealed a 200 percent surge in diagnoses among commercially insured adults aged 30 to 64 between 2013 and 2017.
Jana Nelson, a businesswoman in her late 40s, experienced a dramatic transformation when she began exhibiting severe mood swings, balance issues, and cognitive decline.
After extensive testing, she was diagnosed with early-onset dementia at age 50.
Similarly, Rebecca, a 48-year-old single mother, faced a rapid decline following years of memory lapses.
She chose to end her life through Canada's medical assistance in dying program, seeking to retain autonomy before the disease progressed further.
The average age of an early-onset dementia patient is now 49, with women disproportionately affected, comprising 58 percent of cases.
While the sharp rise in diagnoses may reflect improved detection rather than an actual increase in prevalence, modern lifestyle factors are under scrutiny.
Poor diet, physical inactivity, excessive screen time, and obesity are being studied for their potential roles in accelerating brain aging.
Researchers are investigating whether these factors contribute to inflammation, vascular damage, and metabolic dysfunction—conditions that may drive cognitive decline long before traditional signs of aging appear.
As the medical community grapples with these challenges, the need for more precise diagnostic tools and targeted interventions becomes increasingly urgent.