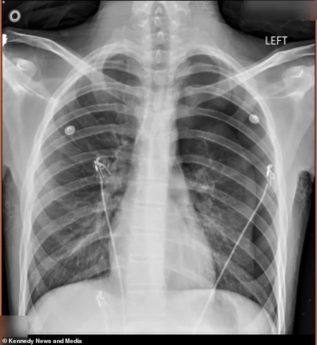
A Kentucky mother is issuing a stark warning after her teenage son's life was turned upside down by a dangerous habit he adopted to fit in with his peers. Cameron Vann, known as Dodge, began vaping two years ago to appear 'cool' in front of his friends, but he kept the secret from his mother, Crystal Vann, until it was too late. In September 2025, Dodge emerged from the school bus pale and in severe pain, prompting Vann to rush him to the emergency room. A chest x-ray revealed that 50 percent of his left lung had collapsed, a condition known as a pneumothorax, which occurs when air enters the chest cavity and exerts pressure on the lung.
The severity of the situation forced doctors to perform a surgical intervention, inserting an 18-inch tube into Dodge's chest to remove the excess air and allow his lung to re-expand. However, the teenager continued to vape in secret, unaware of the long-term consequences of his actions. It wasn't until January 2026 that Dodge once again called his mother, out of breath and in intense pain, signaling the recurrence of the condition. This time, the situation was even more dire. Doctors warned that if they hadn't acted quickly, Dodge could have died in the hospital lobby.

The second collapse required an even more aggressive surgical procedure known as a pleurodesis. During this operation, doctors scraped the lining of Dodge's lung and stapled fluid or air-filled blisters called blebs to the top of his lung, effectively reattaching it to the chest wall. The experience left Vann in a state of shock and fear. 'He went through a lot. It was horrible,' she said. 'I thought, "Why him?" I feared he was going to die.' Vann expressed frustration over the fact that Dodge's friends had first introduced him to vaping, and she now strongly advises others to avoid the practice.
Dodge's case highlights a growing public health concern. According to CDC data for 2024, approximately 6 percent of US adults, or around 17 million people, reported vaping regularly. The highest rates of usage are found among young adults aged 18 to 24, with over 15 percent of that group identifying as regular users. Among children, about 1.6 million middle and high school students vape, though this number has declined since its peak in 2019. Despite these figures, the long-term health risks associated with vaping remain a subject of intense debate and concern.

Vaping has long been marketed as a safer alternative to smoking, a claim that is partially supported by the fact that smoking causes nine in ten cases of lung cancer, which is the deadliest form of the disease in the United States. However, a growing body of research suggests that vaping may lead to other serious long-term health issues, including high blood pressure and an increased risk of stroke. In a recent medical journal, doctors detailed the case of a New Jersey man who died from aggressive lung cancer, the first known case to be directly linked to e-cigarettes.

Vapes operate by heating a liquid that typically contains nicotine, flavorings, and a mixture of toxic chemicals. When inhaled, the vapor delivers harmful substances deep into the lungs, including formaldehyde, acetaldehyde, and other volatile organic compounds that are known to cause cancer. Over time, these substances can damage lung tissue, leading to DNA mutations and inflammation, which increase the risk of cancer. Dodge, who has now quit vaping 'cold turkey,' continues to suffer from lingering pain in his left side, which intensifies when he wears clothes or speaks.
The physical and emotional toll on Dodge has been immense. After the surgery, the nerves in his chest have become numb, making even simple tasks like putting on a shirt agonizing. 'Even putting on a shirt feels awful when touching it,' he said. 'Talking vibrates it sometimes, and it hurts so much. I get stabbing pains in my side and can't go to school.' Dodge has also struggled with nightmares and a deep fear of another lung collapse while he sleeps. 'I'm not hitting one ever again,' he said. 'I'm trying to stay away from secondhand smoke and everything.'

Vann, who set up a GoFundMe page to help cover Dodge's treatment costs, described the emotional burden of watching her son endure such suffering. 'He's so little. It hurts in his back, and he does not want to go to sleep because it hurts when he wakes up,' she said. 'He's such a kind and passionate kid with a big heart for others, so seeing him in pain is incredibly hard for me as his mom. He's been so brave, but he's also scared, asking me if his lung might collapse again while he sleeps.'
Now, Vann is calling for nationwide sales restrictions on vaping products. 'I say ban on all vapes,' she said. 'I don't want another kid going through it. Don't do it just to be cool.' Her message is a heartfelt plea, aimed at preventing other young people from making the same life-altering mistake that has left her family in turmoil.